
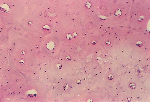
This shows the architecture of compact bone which is designed to nourish and regulate osteocytes and bone matrix. It can be remodeled all throughout life to withstand stress. Identify the circular vessels in the middle of bone running circumferentially around the vessels. These are Haversian canals. They run along the length of the long bone and provide major vessel supply to the osteocytes.
Vessels that connect with those in the Haversian canals run perpendicularly or obliquely to the course of the Haversian canals. These are in Volkmann's canals. Find an example of each on these photos.

Look at the layers of bone and osteocytes running around the Haversian canal. Focus up and down and you can see tiny channels, like spider legs, extending from oblong lacunae. The osteocytes are sitting in the lacunae and the canals are canaliculi, which interconnect the lacunae with the major vessels. This series of channels allows the osteocyte to be nourished and regulated.

The Haversian systems are not as well delineated in compact bone from rib, shown in the photographs below, but the circular pattern can be visualized. Find osteocytes, Haversian canals and Volkman's canals.


URL Address: http://microanatomy.net/bone/Compact_bone_histology.htm
Gwen V. Childs, Ph.D., FAAA
Department of Neurobiology and Developmental Sciences
University of Arkansas for Medical Sciences
4301 W. Markham, Slot 510
Little Rock, AR 72205